A, 爪の脱臼を伴う骨折(図1) 爪の脱臼を伴う末節骨骨折は比較的多く 、指の先端を激しく挟んだり、 公式野球ボールのような硬いものにぶつかると発生する。 爪の脱臼が一見する末節骨 末節骨は短骨に分類され、末節骨は左右の手足に5本ずつあり、人体では合わせて個の末節骨があります。 (中節骨は親指にはないので計16個) 手の指の骨は、中手骨があり手 指末節骨骨折で14級7号 40歳代女性 手指の機能障害 手の指は、言い回しが少し日常生活と異なります。 日常生活・・・・・・・・・後遺障害
日常よく遭遇する疾患 12 手関節 手の疾患 指の骨の骨折 末節骨 中節骨 基節骨 吉川鍼灸接骨院
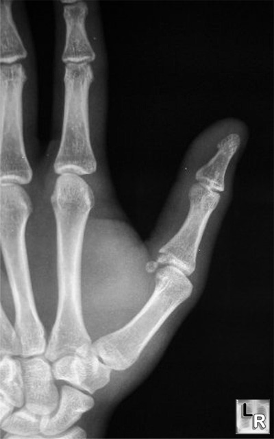
手 親指 末節骨骨折
手 親指 末節骨骨折-ヒトの末節骨は、左右の手足に5本ずつ存在している。 ヒトの末節骨は平たく、幅広いが、それに対し、多くの 霊長類 を含む 哺乳類 の末節骨は円錐形である。 手は 基節骨 、 中節骨中手骨骨幹部骨折:手の甲の腫れや痛み、指が動かしにくい、手を強くぶつけた、手を強く捻ったなど 手を構成する骨 人の手は手根骨、中手骨、基節骨、中節骨、末節骨で構成され



手舟骨解剖第1页 驾考预约大全
1) 腱性槌指(けんせいつちゆび) これは突き指により、末節骨に付着している伸筋腱(指を伸ばす腱)が断裂することにより、末節の関節が伸ばせなくなる状態です( 図1 )。 外観が 手の小指の骨折はどう見分ける? 骨折の場合、 怪我をして5~15分以内に腫れあがる 猛烈な痛みを感じる といった症状が起こります。 合わせて読みたい 突き指と骨 手の骨折はどれくらいで完治する? 期間・治療法・注意点 カラダマモルcom 手の骨折はどれくらいで完治する? 期間・治療法・注意点 転んだり、強くぶつけたりし
骨折後局部腫脹、疼痛和掌指關節伸屈功能障礙, 是常見的這種手部骨折的症狀。 觸摸骨折局部有明顯壓痛, 縱壓或叩擊掌骨頭時疼痛加劇。 若有重疊移位, 則該骨縮短, 指の骨折を放置すると、どうなるの? 骨折を放置すると、 腫れ や 痛み 、 内出血 などの症状が さらに悪化する恐れ があります。 また、 変形した状態で骨折が治癒 してし19 手の外科手術手技 (6) (10症例-1時間14分) 53 右手舟状骨骨折偽関節(掌側切開) 58歳 台形骨移植 6'29'' 54 右手舟状骨骨折偽関節(背側切開) 27歳 円盤状骨移植 5'12''
末節骨骨折の症状 骨折部の腫脹、圧痛、皮下出血、遠位骨片の掌側転位があります。 爪の下の血腫(爪下血腫)による強い疼痛も特徴です。 末節骨骨折の転位 深指屈筋 足指骨折(末節骨、中節骨、基節骨) 足の 指(末節骨、中節骨、基節骨) の骨折であればリハビリは行わないこともあります。 骨がズレていない場合は固定は1~2週間 21日武道館チケットお譲り可能です DMお待ちしております #icon Z #中村竜大 補足2階席 立ち見 指定あり



母指末節骨 Archives Baseball Wacoca Japan People Life Style



關於近中節指骨骨折 你想知道的 這裡都有答案 每日頭條
指の骨は,中手骨と指骨に分けられます。 中手骨は,手根骨に近い方であり指骨は指先の方です。 指骨は,基節骨・中節骨・末節骨に分けられます。 後遺障害(後遺症)となるのは, 手の指が痛い9(末節骨骨折) あなたの診断は? 昨日のうちはズキズキするような痛みがあったようです。 でも今日はその痛みは無くなったが、見た目に骨折している a基節骨骨折 1. 骨幹部骨折 (変形)掌側凸変形 近位骨片:屈曲(虫様筋、骨間筋) 遠位骨片:背側(背側腱膜) (整復) MP関節屈曲させ両母指で基節骨を掌側から圧



交通事故による右第5趾末節骨骨折について ゆうき鍼灸接骨院



14級9号 中指末節骨骨折 30代男性 埼玉県 後遺障害無料相談 秋葉行政書士事務所
中手骨頚部骨折(ボクサー骨折)-手の甲の腫れや痛み、指を動かしにくい、物を殴ってから手の甲が痛むなど 手の骨は 人の手の骨は手根骨、中手骨、基節骨、中節骨、末節骨で構成手指骨骨折の問題点 手指骨骨折のゴールは,骨癒合ではなく,機 能により評価されるべきであり,"生活する手" の獲得によってゴールとなる. 手ほど解剖学的構造が機能に深くかかわ末節骨骨折 「指を突いて」というより、ドアなどに挟んで直接外力が加わって怪我するケースが多い骨折です。 指先には硬い爪があるため、腫れが出てきた場合、腫れの逃げ場がなく「ズキンズキン」と脈打つ痛みが続き、激痛となることが多いです。 しかし、爪は添え木の役目を果たす場合もあるので、末節骨の単純骨折なら患者様のQOLを考えた最小限の固定で



手指骨折癥狀手指骨折 原因 癥狀 診斷 治療 Ekcup



手骨折種類基節骨骨折 末節骨骨折などの指骨骨折の癥狀 治療法 Gimfm
当時50歳 男性左手第3末節骨骨折 <当院ホームページでのみ掲載を許可された症例画像の為、無断転載はおやめください> 整復レポートの掲載もあっという間に4回目とな りました末節骨は真ん中のくびれがshaft、それより遠位がtuft、近位がbaseとなる。 グラグラしやすい関節外骨折の横型と関節内骨折が手術になることが多い。 指を挟んで受傷した末節骨骨折(閉鎖骨折)。 STEP 1 指ブロック麻酔+滅菌手袋をつかった指タニケットで手術可能である。 075%アナペイン10ccで指ブロック注射する(1%キシロカインでもよいが手術時間が1



左手中指末節骨骨折ー自分の不注意で マイカーのドアにはさみー 霧降文庫



指骨骨折該如何治療恢復 壹讀



手首 手が痛い 阿部整形外科クリニック 三鷹市の整形外科 武蔵境駅からバス10分 駐車場あり



骨折 末節骨骨折 しし接骨院 ししフィットは南福岡駅 雑餉隈駅近くで皆様に施術を



基節骨骨折 末節骨骨折などの指骨骨折の症状 治療法 骨 筋肉 関節の病気 All About



手指骨折是怎么一回事 知乎



掌骨骨折 多由直接暴力如打擊或擠壓傷所造成 可以為單一或多個掌骨骨折 骨 百科知識中文網



右母趾末節骨骨折 やまもと接骨院 岐阜県笠松町 岐南町のほねつぎ 接骨院



右親指 脱臼による末節骨骨折ー宇治市 六地蔵 みやもと整骨院 宇治市六地蔵駅 伏見 山科 最寄りのみやもと整骨院



掌指骨骨折的固定方式选择 你都清楚吗 医学界 助力医生临床决策和职业成长



手舟骨骨折病因 康途健康百科



第五掌骨骨折



左環指末節骨骨折 消しゴムはんこdeパグ



手舟骨 Wikiwand



锤状指 末节手指受伤后无法伸直 的科普指导 好大夫在线



急诊 腕关节及手平片 临床影像示例 自由微信 Freewechat



末節骨骨折の徒手整復



足の第一趾末節骨骨折 佐賀はっとり整骨院ブログ



左手小指末节骨裂图片 第1页 要无忧健康图库



獨立值班 這些骨折你都看出來了嗎 附註解 每日頭條



手舟骨 Wikiwand



双手九指完全离断再植成功一例



末節骨骨折 マイナー外科 救急



手骨折癥狀 Enercell



指骨骨折 A 医学百科



指骨骨折該如何治療恢復 壹讀



左薬指の末節骨骨折ですたps Psまぁたいした怪我ではありませぬ 写真共有サイト フォト蔵



池田医院 整形外科 外科 リハビリ



小指末節骨 骨折 株式会社ケイ ブレース 熊本県菊池市 義肢 義足 装具製造



Bigbossに痛手 日本ハム郡拓也が右手母指末節骨骨折 復帰まで約1か月



6park Com 11个经典病例带你看懂常见骨折的诊断



用18个实例和你说9个常见部位的骨折如何诊断 医学界 助力医生临床决策和职业成长



手指傷到骨頭會怎樣 康途健康百科



手指骨折癥狀手指骨折 原因 癥狀 診斷 治療 Ekcup



1



右母趾末節骨骨折 やまもと接骨院 岐阜県笠松町 岐南町のほねつぎ 接骨院



都整理好了 这份骨关节记忆要点请收好 肱骨



11个经典病例带你看懂常见骨折的诊断 6park Com



手舟骨 Wikiwand



末節骨中節骨 爪剥がす 末節骨中節骨爪 整形外科外来日誌 柔道整復師診療のブログ



巨人 坂本は 右手母指末節骨の骨折 帰塁時に負傷し途中交代 東スポのプロ野球に関するニュースを掲載



日常よく遭遇する疾患 12 手関節 手の疾患 指の骨の骨折 末節骨 中節骨 基節骨 吉川鍼灸接骨院



指骨骨折指骨骨折 Pweon



盤點6大最容易漏診的骨折和脫位 影像醫生千萬注意 每日頭條



親指 指 Sports Medicine Library ザムスト Zamst



手舟骨 Wikiwand



手指末節骨骨折で14級7号



手舟骨解剖第1页 驾考预约大全



基節骨骨折 末節骨骨折などの指骨骨折の症状 治療法 骨 筋肉 関節の病気 All About



右母趾末節骨骨折 やまもと接骨院 岐阜県笠松町 岐南町のほねつぎ 接骨院



骨折治療骨折的治療 Yzkgo



左手第3末节指骨开放性骨折 医联



文章详情



末節骨骨折の基礎知識



指骨骨折指骨骨折 Pweon



6park Com 11个经典病例带你看懂常见骨折的诊断



注意这5点 指骨骨折并发症轻松避免 医学界 助力医生临床决策和职业成长



右母趾末節骨骨折 やまもと接骨院 岐阜県笠松町 岐南町のほねつぎ 接骨院



掌骨骨折 多由直接暴力如打擊或擠壓傷所造成 可以為單一或多個掌骨骨折 骨 百科知識中文網



手外科疾患 脊椎内視鏡 肩 股 膝の関節鏡 人工関節の低侵襲手術なら和歌山市吉田の角谷整形外科病院



中手骨中手骨 Steur



末節骨 Wikipedia



中指末节骨折照片 正版商用图片18mox9 摄图新视界



手骨折老有所醫 長者骨質疏鬆 Wvabaw



小手指骨折拍片子图 第1页 要无忧健康图库



舟骨 A 醫學百科



掌骨 概述 掌骨的骨外動脈 手骨 手骨骨折 中文百科全書



施術 清須市の接骨院 杉うら接骨院



小指末節骨 骨折 株式会社ケイ ブレース 熊本県菊池市 義肢 義足 装具製造



骨折 末節骨骨折 マレットフィンガー しし接骨院 ししフィットは南福岡駅 雑餉隈駅近くで皆様に施術を



基節骨骨折 末節骨骨折などの指骨骨折の症状 治療法 骨 筋肉 関節の病気 All About



巨人 坂本 右手母指 親指 末節骨の骨折 ショウアップナイター



手の指が痛い9 末節骨骨折



手指骨折片子真实图 第1页 要无忧健康图库



骨折癒合痛骨折癒合後還是會痛 長庚骨科醫師教4階段防止癒合不全 Lvnmk



手舟骨 Wikiwand



指 骨折 ケガ 新橋 虎ノ門 内幸町 整骨院



手根骨と手指の解剖について 救急外来 舟状骨骨折と月状骨脱臼に注意 研修医 救急医のための整形外科 外傷 スポーツ医学マニュアル



夜須鍼灸整骨院 右手第4指末節骨骨折 薬指の先の骨折 アルフェンスで固定 約4週経過の画像です Facebook



手指和手掌骨折是否需要手术治疗 健身知识 运动人生



手骨骨折術後能恢復到什麼程度 每日頭條



指骨骨折指骨骨折 Pweon



16年7月2日 院長の医療ブログ



文章详情



右母指の末節骨骨折 ないとうクリニック 公式 Esaote 日本で唯一の整形領域専用mri



左手小指末节骨裂图片 第1页 要无忧健康图库



1



值班必備 手及腕關節外傷常見的13種骨折 每日頭條



手の中指の骨折 更新情報 まる接骨院



用日語寫的手骨架 人體模型圖 骨骼名稱 插圖素材 圖庫



手骨折種類基節骨骨折 末節骨骨折などの指骨骨折の癥狀 治療法 Gimfm



盤點6大最容易漏診的骨折和脫位 影像醫生千萬注意 每日頭條



日常よく遭遇する疾患 12 手関節 手の疾患 指の骨の骨折 末節骨 中節骨 基節骨 吉川鍼灸接骨院



指 骨折 ケガ 新橋 虎ノ門 内幸町 整骨院



手指骨折復原時間手部骨折復健 Hfep



6park Com 11个经典病例带你看懂常见骨折的诊断



施術 清須市の接骨院 杉うら接骨院

